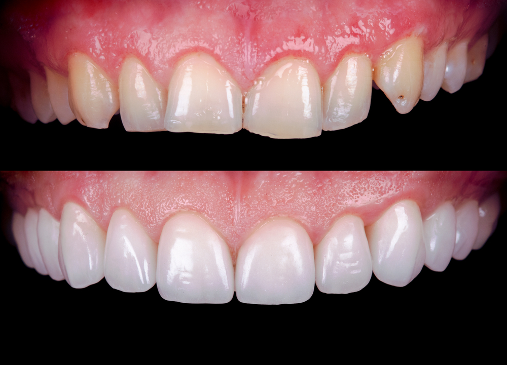
All Ceramic crowns
Metal-free crowns are teeth restorations that are entirely made of ceramic, providing high aesthetic value. The most
favorable part about metal-free crowns is that they look very similar to natural teeth, making them the more favored option today.

