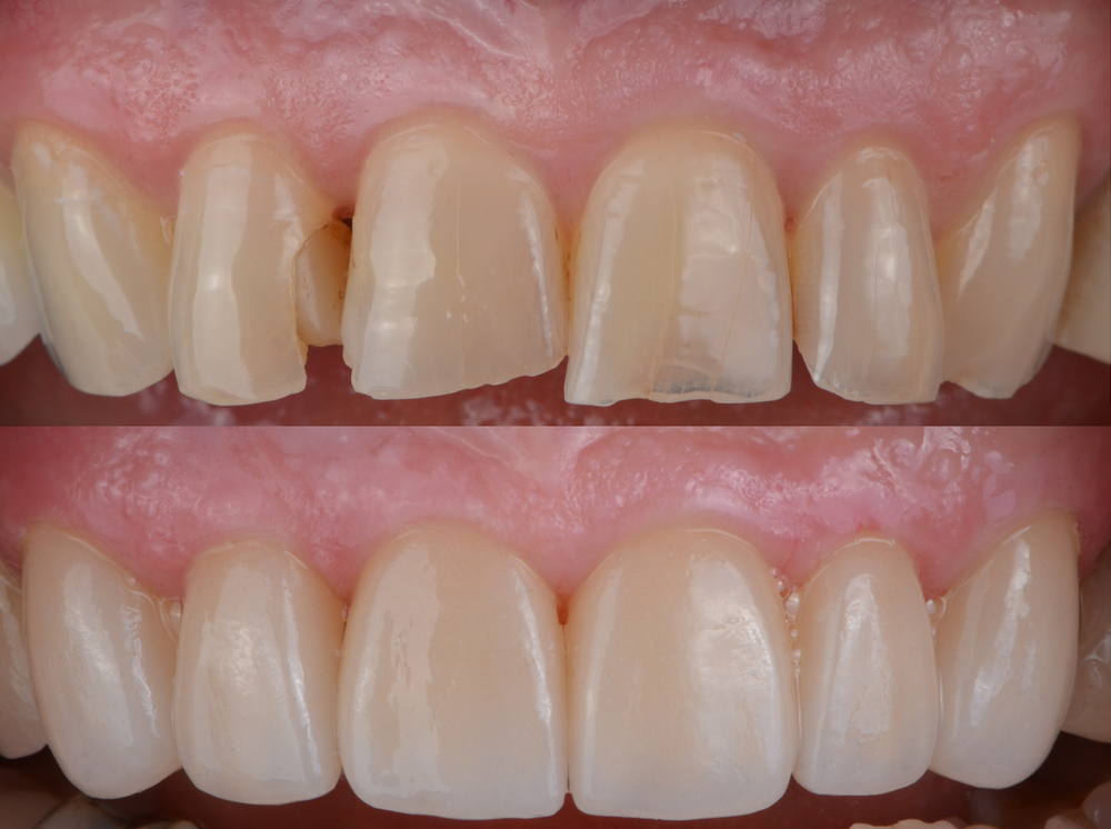
Veneers
A dental veneer is a thin layer of custom-made porcelain which fits over the front of the tooth. Veneers not only restore your
teeth in the most beautiful and natural-like appearance but also ensure longevity of the restorations.
They are gold standard in aesthetic dentistry as they provide maximum and long-term aesthetics, and help improve the
look of your smile providing a very natural tooth appearance.

